Tin chuyên ngành
Trong chương trình "Khám sức khỏe học đường" mà BVĐK Quang Khởi đã triển khai tại nhiều trường, nhiều địa bàn vừa qua, theo thống kê sơ bộ ban đầu cho thấy, có một số lượng không nhỏ học sinh mầm non, tiểu học, trung học cơ sở bị sâu răng, chuyển sang viêm tủy răng. Đây là một vấn đề tương đối đáng báo động về công tác vệ sinh và chăm sóc răng miệng cho trẻ em. Tuy nhiên, trên thực tế, khi trẻ mắc các bệnh lý về viêm tủy răng, phụ huynh thường khá chủ quan và cho rằng sau một thời gian bệnh sẽ tự khỏi nên gây ra những hậu quả nghiêm trọng về răng miệng của trẻ.
Thực tế một số bệnh lý về tủy răng nếu không được điều trị sớm trẻ sẽ gặp nhiều biến chứng nguy hiểm cho răng và để lại hậu quả đáng tiếc về sau. Do đó, bài viết này sẽ chỉ ra nguyên nhân, triệu chứng, đặc biệt là cách điều trị tủy răng ở trẻ sẽ giúp các bậc cha mẹ trang bị cho mình những kiến thức bổ ích để đề phòng bệnh một cách tốt nhất.
.jpg)
Khám răng cho em bé ở trường mầm non Chú Ếch xanh (phường Quỳnh Thiện, thị xã Hoàng Mai)
Bệnh viêm tủy răng ở trẻ em là gì?
Tủy răng là một bộ phận nằm trong cùng của răng, bao gồm tủy buồng và hệ thống ống tủy, có chức năng dẫn truyền thần kinh và nuôi dưỡng răng.
Bệnh viêm tủy răng hiện nay thường xảy ra rất phổ biến ở lứa tuổi trẻ em do những viêm nhiễm quanh răng gây ra. Bệnh viêm tủy diễn biến qua 3 giai đoạn: viêm tủy có hồi phục; viêm tủy không hồi phục và hoại tử tủy.
.jpg)
BS đang kiểm tra răng miệng cho học sinh trường mầm non Long Thành, phường Quỳnh Dị
Nguyên nhân của bệnh viêm tủy răng ở trẻ em?
Tủy răng thường được coi là “trái tim” của răng và nó được bảo vệ bởi tổ chức cứng ở xung quanh, vì thế không dễ bị viêm. Khi tổ chức bảo vệ tủy răng(men răng, xương răng…) bị ảnh hưởng, dẫn đến sâu răng, làm cho tủy răng bị lộ ra, có thể gây viêm tủy răng. Giai đoạn đầu của viêm tủy răng cơn đau thường thoáng qua vài phút. Cơn đau sẽ tăng khi bị kích thích như ăn những thức ăn nóng, lạnh, chua. Về sau, cơn đau nhức nhối kéo dài, rất khó chịu, nhất là về ban đêm. Những bệnh răng miệng có nguy cơ dẫn đến viêm tủy răng là: sâu răng, răng bị tổn thương, răng bị mài mòn, răng dị hình, tổn thương cổ răng, viêm quanh răng…
.jpg)
BS của BVĐK Quang Khởi đang hướng dẫn học sinh trường tiểu học Quỳnh Dị cách chăm sóc răng miệng
Viêm tủy thường bắt đầu từ sâu răng không chữa trị kịp thời, những vi khuẩn tồn tại ở trong miệng, xâm nhập tuỷ răng chủ yếu qua các lỗ sâu và gây bệnh., Tác nhân gây viêm tuỷ răng thường gặp nhất là vi khuẩn. Chúng tồn tại ở trong miệng, xâm nhập tủy răng chủ yếu qua các lỗ sâu và cuống răng… Ngoài ra, hóa chất (nhiễm độc chì, thủy ngân…), sang chấn, thay đổi áp suất môi trường… cũng có thể gây viêm.
- Sâu răng: bình thường, trong khoang miệng chúng ta có rất nhiều vi khuẩn tồn tại. Khi răng bị sâu, tổn thương, sứt mẻ hoặc bạn bị mắc các bệnh quanh răng thì vi khuẩn sẽ thâm nhập qua vùng tổn thương đi vào trong tủy răng, gây ra viêm tủy răng. Một nguyên nhân khác, vi khuẩn trong cơ thể đi vào máu, theo máu đến tủy răng, gây viêm tủy răng.
- Tổn thương ở răng: chân răng thường bị tổn thương, tổn thương tủy răng do tổn thương từ ngoài răng gây nên vỡ hay mẻ răng. Mức độ tổn thương răng có liên quan đến viêm tủy răng. Răng sau khi bị chấn động nhẹ cũng có thể gây viêm tủy răng.
Viêm tủy răng ở trẻ em để lại biến chứng gì?
Bệnh viêm tủy răng ở trẻ nếu không được chẩn đoán và điều trị sớm sẽ gây ra các biến chứng rất nguy hiểm cho sức khỏe răng miệng như viêm tủy cấp, sau đó sẽ hoại tử dần tủy răng dẫn đến viêm mãn tủy, làm chết tủy và thối tủy.
Mặt khác những hoại tử của tủy răng nếu không được thải ra ngoài dễ gây nên các bệnh lý khác như viêm tổ chức liên kết, viêm xương hàm hoặc tụ lại ở chân răng gây ra u hạt, nang chân răng…
Biến chứng nặng nhất mà viêm tủy có thể gây ra là trẻ bị mất răng, nếu răng của bé được nhổ quá sớm cũng sẽ ảnh hưởng đến việc thay răng vĩnh viễn hay sức khỏe răng miệng về sau.
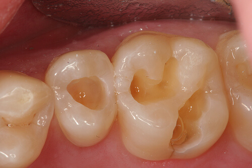
.jpg)
Hình ảnh viêm tủy răng
Cách điều trị bệnh viêm tủy răng ở trẻ em
Với sự phát triển của công nghệ nha khoa hiện nay, việc điều trị tủy răng hoàn toàn không làm ảnh hưởng đến dây thần kinh như nhiều người lầm tưởng. Tuy nhiên, điều trị bệnh viêm tủy răng ở trẻ cũng là một trong những kỹ thuật phức tạp, mất thời gian, và đòi hỏi bác sĩ nhiều kinh nghiệm.
Với những trường hợp viêm tủy nhưng chân răng vẫn khỏe, bác sĩ thực hiện lấy đi những mô tủy bị tổn thương để bảo tồn tủy chân răng chưa bị nhiễm trùng. Sau đó sẽ trám bít lại ống tủy và răng sâu, kéo dài tuổi thọ cho răng của bé.
(Thông tin y khoa thường thức)
Tin liên quan
Hotline: 1900.9228
Email: lienhe@quangkhoi.org
Giấy phép hoạt động khám bệnh,chữa bệnh : 225/BYT - GPHĐ cấp ngày 6/7/2018 của Bộ trưởng Bộ Y tế.

